Водянка яичка, гидроцеле, киста придатка яичка, сперматоцеле, киста семенного канатика, фуникулоцеле: причины и лечение
Водянка яичка и водянка семенного канатика ( ГИДРОЦЕЛЕ и ФУНИКУЛОЦЕЛЕ ) — это скопление жидкости похожей на сыворотку крови между оболочками яичка.
При водянке яичка, гидроцеле яичко увеличивается в размерах.
|
ЛЕЧЕНИЕ водянки яичка, лечение СПЕРМАТОЦЕЛЕ, лечение ФУНИКУЛОЦЕЛЕ в нашей Клинике БЕЗ АНТИБИОТИКОВ. Есть РЕЗУЛЬТАТЫ, есть ОПЫТ, есть пути ДОСТИЖЕНИЯ! |
|
Водянка яичка, гидроцеле и водянка семенного канатика, фуникулоцеле являются преимущественно заболеваниями плода и детского возраста.
Гидроцеле и фуникулоцеле выявляются у 1-1,2% мужчин. Водянка яичка, гидроцеле и водянка семенного канатика, фуникулоцеле ВЫЗВАНЫ нарушением процесса заращения влагалищного отростка брюшины и СКОПЛЕНИЕМ в полости влагалищного отростка брюшины серозной ЖИДКОСТИ.Гидроцеле и фуникулоцеле в большинстве случаев физически не очень беспокоит, являясь объектом скорее психологического дискомфорта.
| Фото водянки левого яичка. Водянка яичка возникла после травмы |
|
|
Водянка яичка и водянка семенного канатика снижают качество жизни. ЛЕЧЕНИЕ гидроцеле и фуникулоцеле НЕОБХОДИМО. ВАЖНО начать двигаться в правильном направлении! ВСЁ, что нужно знать о правильном направлении в лечении гидроцеле и фуникулоцеле, смотри ЗДЕСЬ: |
- ПРИЧИНЫ водянки яичка (гидроцеле)
- Анатомия и физиология яичка
- ДИАГНОСТИКА водянки яичка
- Осложнения водянки яичка
- ЛЕЧЕНИЕ водянки яичка
- Отзывы о лечении водянки яичка в нашей Клинике
- Вопросы и ОТВЕТЫ о лечении водянки яичка
Лечение гидроцеле и фуникулоцеле по предварительной записи по телефону 8(800) 500-52-74 (звонок по России бесплатный), или +7 (928) 022-05-32 (для зарубежных звонков).
|
Задать ВОПРОС ОНЛАЙН о лечении гидроцеле, фуникулоцеле можно по адресу Данный адрес e-mail защищен от спам-ботов, Вам необходимо включить Javascript для его просмотра. . ЗАПИСЬ на лечение водянки яичка по телефону 8(800) 500-52-74 (звонок по России бесплатный). Записаться на ЛЕЧЕНИЕ сперматоцеле через интернет можно здесь. Купите КУРСОВКУ по телефону +7 (928) 022-05-32 или здесь. |
Причины водянки яичка, гидроцеле
ВРОЖДЕННАЯ водянка яичка, гидроцеле.
В мошонку яички опускаются совместно с влагалищным отростком брюшины, находясь в нем как в мешочке.
При НЕЗАРАЩЕНИИ со стороны брюшной полости влагалищного отростка брюшины в его полости скапливается серозная жидкость и формируется водянка оболочек яичка (водянка яичка, гидроцеле).
Если отросток брюшины СРАСТАЕТСЯ в ближайшем к яичку («нижнем») отделе, а отдел со стороны брюшной полости остается открытым, возникает СООБЩАЮЩАЯСЯ водянка семенного канатика (фуникулоцеле).
В случае незаращения влагалищного отростка брюшины на всем его протяжении возникает сообщающаяся водянка семенного канатика и оболочек яичка (фуникулоцеле и гидроцеле).
В случае заращения отростка со стороны яичка и брюшной полости и скопления секрета в среднем отделе влагалищного отростка брюшины возникает НЕСООБЩАЮЩАЯСЯ (изолированная) водянка оболочек семенного канатика или, иначе, киста семенного канатика (фуникулоцеле).Причиной образования водянки яичка, гидроцеле, кисты придатка яичка, сперматоцеле, кисты семенного канатика, фуникулоцеле ряд авторов считают СНИЖЕНИЕ всасывающей СПОСОБНОСТИ стенки влагалищного отростка брюшины и несовершенство у данного индивидуума лимфатической системы паховой области.
Причиной образования водянки яичка, гидроцеле являются ТРАВМЫ мошонки.
Травмы мошонки (ушиб мошонки, удар в паховую область), сопровождающиеся нарушением целостности и структуры тканей, могут повлечь отек тканей и НАРУШЕНИЕ ОТТОКА секрета, вырабатываемого придатком яичка.
Биологическая роль секрета придатка яичка — создание среды, необходимой для созревания и транспорта сперматозоидов.
Нарушение оттока и СКОПЛЕНИЕ СЕКРЕТА придатка яичка приводит к возникновению кисты придатка яичка.
|
Задать ВОПРОС ОНЛАЙН о лечении гидроцеле, фуникулоцеле можно по адресу Данный адрес e-mail защищен от спам-ботов, Вам необходимо включить Javascript для его просмотра. . ЗАПИСЬ на лечение водянки яичка по телефону 8(800) 500-52-74 (звонок по России бесплатный). Записаться на ЛЕЧЕНИЕ сперматоцеле через интернет можно здесь. Купите КУРСОВКУ по телефону +7 (928) 022-05-32 или здесь. |
Диагностика водянки яичка
Водянка яичка и сообщающаяся водянка семенного канатика (гидроцеле и фуникулоцеле) сопровождаются УВЕЛИЧЕНИЕм половины мошонки, а при двусторонней водянке яичка — увеличением всей МОШОНКИ.
Пальпаторно («на ощупь») сообщающаяся водянка яичка (чаще всего именно так сокращенно называют сообщающуюся водянку семенного канатика и яичка) определяется в виде мягкоэластичного образования вытянутой формы. Верхний полюс образования пальпируется у наружного пахового кольца.
При НАТУЖИВАНИИ данное образование УВЕЛИЧИВАЕТСЯ в объеме и приобретает плотноэластичную консистенцию.
В положении ЛЕЖА на спине размер (объем) образования постепенно самопроизвольно УМЕНЬШАЕТСЯ.
«ВПРАВЛЕНИЕ» сообщающейся водянки яичка сопровождается постепенным уменьшением ее объема, при этом характерное для паховой грыжи урчание и одномоментное уменьшение объема отсутствуют.
При изолированной ( НЕСООБЩАЮЩЕЙСЯ ) водянке яичка мягкоэластичное образование в мошонке имеет округлую форму, в нижнем полюсе образования пальпируется яичко.
Фуникулоцеле и сперматоцеле ОПРЕДЕЛЯЮТСЯ пальпаторно («на ощупь») в виде мягкоэластичных безболезненных образований с четкими контурами округлой или овальной формы в области головки и хвоста придатка яичка или по ходу семенного канатика.
Отличительной ОСОБЕННОСТЬю фуникулоцеле и сперматоцеле являются четко определяющиеся верхний и нижний полюсы образований.
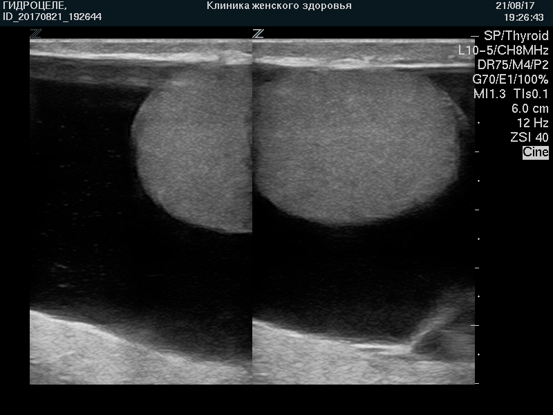
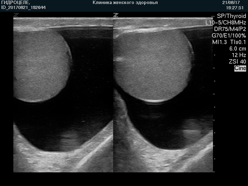
Ультразвуковая картина водянки яичка, гидроцеле, кисты придатка яичка, сперматоцеле, кисты семенного канатика, фуникулоцеле ХАРАКТЕРНА и сомнений не вызывает.
УЗИ мошонки позволяет безопасно (без «облучения») осуществлять динамический контроль на фоне лечения и/или наблюдения.
| Водянка яичка. Свободная жидкость контурирует яичко |
|
| Водянка яичка. Тот же случай. |
|
|
Киста придатка яичка, водянка яичка, сперматоцеле является редкой и абсолютно доброкачественной находкой (никогда! НЕ «переходит в РАК») у новорожденных детей. Киста семенного канатика, фуникулоцеле встречается намного реже, чем киста придатка яичка, водянка яичка, сперматоцеле. |
Осложнения водянки яичка (гидроцеле, кисты придатка яичка, сперматоцеле, кисты семенного канатика, фуникулоцеле)
Сперматоцеле, водянка яичка, киста придатка яичка и фуникулоцеле, киста семенного канатика НЕ представляют ОПАСНОсти для жизни и социальной деятельности мужчины. Однако, достигнув определенных размеров,
Кисты придатка яичка и семенного канатика СДАВЛИВАЮТ соответствующие им структуры и СПОСОБСТВУЮТ нарушению оттока их секрета.
Сперматоцеле и фуникулоцеле в той или иной степени могут обтурировать (перекрывать) просвет семявыносящего протока, являясь причиной мужского бесплодия.
Увеличенная в объеме мошонка вызывает физический и эстетический ДИСКОМФОРТ, снижает ощущение своей сексуальной привлекательности и отрицательно влияет на чувство собственного ДОСТОИНСТВА.
|
Задать ВОПРОС ОНЛАЙН о лечении гидроцеле, фуникулоцеле можно по адресу Данный адрес e-mail защищен от спам-ботов, Вам необходимо включить Javascript для его просмотра. . ЗАПИСЬ на лечение водянки яичка по телефону 8(800) 500-52-74 (звонок по России бесплатный). Записаться на ЛЕЧЕНИЕ сперматоцеле через интернет можно здесь. Купите КУРСОВКУ по телефону +7 (928) 022-05-32 или здесь. |
Лечение водянки яичка (гидроцеле, кисты придатка яичка, сперматоцеле, кисты семенного канатика, фуникулоцеле)
| ЛЕЧЕНИЕ водянки яичка, лечение сперматоцеле, лечение фуникулоцеле в нашей Клинике БЕЗ АНТИБИОТИКОВ. Есть РЕЗУЛЬТАТЫ, есть ОПЫТ, есть пути ДОСТИЖЕНИЯ! |
При выявлении водянки яичка, кисты придатка яичка, сперматоцеле, кисты семенного канатика, фуникулоцеле до рождения или периодах новорожденности и младенчества лечение в большинстве случаев не требуется.
С возрастом ребенка, как правило к концу 1 года жизни, возможно постепенное САМОПРОИЗВОЛЬНОЕ уменьшение и ИСЧЕЗНОВЕНИЕ водянки яичника, кисты придатка яичника, сперматоцеле, кисты семенного канатика, фуникулоцеле.
Хирургическое лечение кисты семенного канатика проводится у детей старше 1 года, обычно в возрасте 1,5-2 лет.
|
В лечении водянки яичка, и кисты придатка яичка быстрый ЭФФЕКТ оказывают лазеромагнитофорез, магнитофорез и и сонофорез с мазями из растительного сырья и лечебной грязи. |
Лечение водянки яичка, гидроцеле в будни и праздники, БЕЗ ВЫХОДНЫХ:
понедельник-пятница с 8:00 до 20:00,
суббота, воскресенье, праздничные дни с 8:00 до 17:00 по московскому времени.
Лечение водянки яичка, гидроцеле по предварительной записи не позднее чем за 5 дней по телефону 8(800) 500-52-74 (звонок по России бесплатный), или +7 (928) 022-05-32 (для зарубежных звонков), или по адресу Данный адрес e-mail защищен от спам-ботов, Вам необходимо включить Javascript для его просмотра. .
|
Задать ВОПРОС ОНЛАЙН о лечении гидроцеле, фуникулоцеле можно по адресу Данный адрес e-mail защищен от спам-ботов, Вам необходимо включить Javascript для его просмотра. . ЗАПИСЬ на лечение водянки яичка по телефону 8(800) 500-52-74 (звонок по России бесплатный). Записаться на ЛЕЧЕНИЕ сперматоцеле через интернет можно здесь. Купите КУРСОВКУ по телефону +7 (928) 022-05-32 или здесь. |
Уважение и терпимость к различным привычкам и вероисповеданию наших Пациентов позволяет Нам достигать комфортности и высокой эффективности лечения.
Вы можете РАССЧИТЫВАТЬ на наш всемерный отклик и ПОДДЕРЖКУ при возникновении любых пожеланий и сомнений.
- О Клинике
- Коллектив Клиники
- Отзывы о лечении в нашей Клинике
- Отзывы о лечении водянки яичка в нашей Клинике
- Стоимость консультации уролога с целью «Провериться на ВСЁ»
- ПРОЖИВАНИЕ в Пятигорске по разумной цене
Вопросы и ответы о лечении водянки яичка, гидроцеле
Вопрос: Получил в профкоме путевку в вашу клинику. Возможен ли приезд на два дня позже, чем указано в путевке и выезд на два дня ранее?
Ответ: Приезд на лечение позже даты, указанной в путевке, и досрочный выезд из Клиники возможны.
Однако обращаем Ваше внимание, что сокращение сроков лечения и восстановления работоспособности не позволит достигнуть ожидаемых результатов и стойкости эффекта санаторно-курортного лечения.
Вопрос: Как записаться на консультацию уролога в Пятигорске?
Ответ: Консультация уролога Пятигорск, Адмиральского 6 А, тел. 8(800) 500-52-74, +7 (928) 022-05-32 (для зарубежных звонков).
Запись к урологу предварительная. Возможен прием уролога в день обращения.
Вопрос: Как записаться на прием к врачу урологу через интернет? М.В., г. Пятигорск.
Ответ: Запись к урологу через интернет по адресу
Данный адрес e-mail защищен от спам-ботов, Вам необходимо включить Javascript для его просмотра.
.
Вопрос: Как работает уролог, клиника урологии в Пятигорске в СУББОТУ, воскресенье?
Ответ: Уролог в Пятигорске в субботу, ВОСКРЕСЕНЬЕ работает с 8:00 до 17:00.
|
Задать ВОПРОС ОНЛАЙН о лечении гидроцеле, фуникулоцеле можно по адресу Данный адрес e-mail защищен от спам-ботов, Вам необходимо включить Javascript для его просмотра. . ЗАПИСЬ на лечение водянки яичка по телефону 8(800) 500-52-74 (звонок по России бесплатный). Записаться на ЛЕЧЕНИЕ сперматоцеле через интернет можно здесь. Купите КУРСОВКУ по телефону +7 (928) 022-05-32 или здесь. |
Вопрос: Консультация уролога (запись к урологу, прием уролога) в ПРАЗДНИКи возможна? С.Е., г. Пятигорск.
Ответ: Консультация уролога в праздничные дни с 8:00 до 17:00.
Запись к урологу по тел. 8(800) 500-52-74 (звонок бесплатный) или +7 (928) 022-05-32 (для зарубежных звонков).
Вопрос: Андролог, уролог-андролог в Пятигорске где ведет прием? Г.К., г.Черкесск.
Ответ: Консультация андролога, уролога-андролога Пятигорск, Адмиральского 6 А, тел. 8(800) 500-52-74 (звонок бесплатный) или +7 (928) 022-05-32 (для зарубежных звонков).
Консультация андролога, уролога-андролога в Пятигорске в день обращения и по предварительной записи.
Вопрос: Лечение водянки яичка, гидроцеле можно совместить с программой лечения терапевтических заболеваний? Какова будет предполагаемая стоимость лечения и ожидаемый эффект?
Ответ: Совмещение программ лечения урологических и терапевтических заболеваний на курорте является возможным и желательным и позволяет осуществить лечение и оздоровление организма мужчины в целом.
При совмещении нескольких программ лечения предполагаемая максимальная стоимость выше стоимости основной программы лечения не более чем на 15%.
Вопрос: Для лечения водянки яичка, гидроцеле, что необходимо? Ж.К., г.Нальчик.
Ответ: Для лечения водянки яичка, гидроцеле желательно иметь копии заключений врачей и результатов ранее проведенного обследования и лечения.
При желании или необходимости возможно выполнить необходимое обследование в нашей Клинике.
|
Задать ВОПРОС ОНЛАЙН о лечении гидроцеле, фуникулоцеле можно по адресу Данный адрес e-mail защищен от спам-ботов, Вам необходимо включить Javascript для его просмотра. . ЗАПИСЬ на лечение водянки яичка по телефону 8(800) 500-52-74 (звонок по России бесплатный). Записаться на ЛЕЧЕНИЕ сперматоцеле через интернет можно здесь. Купите КУРСОВКУ по телефону +7 (928) 022-05-32 или здесь. |
Вопрос: Выдается ли больничный лист на период обследования и лечения в Клинике мужского здоровья?
Ответ: Курортная клиника мужского здоровья лист нетрудоспособности (больничный лист) не оформляет.
Вопрос: Как пройти лечение водянки яичка, гидроцеле в клинике по ПОЛИСу?
Ответ: Для проведения обследования и лечения в Клинике мужского здоровья по полису необходимо обратиться в Вашу страховую компанию для получения сопроводительного письма.
При наличии сопроводительного письма, полиса данной страховой компании и паспорта Вы сможете выполнить необходимое обследование и лечение водянки яичка, гидроцеле в нашей Клинике.
С уважением, Главный бухгалтер Курортной клиники мужского здоровья.
Вопросы, касающиеся здоровья Ваших женщин, подробно рассмотрены на
www.kurortklinika.ruВопрос: По полисам каких страховых компаний системы добровольного медицинского страхования осуществляют прием врачи Курортной клиники мужского здоровья?
Ответ: Мы принимаем Застрахованных в «СОГАЗ», «Ингосстрах» по полисам, выданным данными страховыми компаниями. Подробную информацию о том, с какими медицинскими учреждениями работает Ваша страховая компания Вы можете узнать по номеру горячей линии Вашей страховой компании. Если Курортной клиники мужского здоровья в ее списке нет, Вы можете оставить заявку и, возможно, Ваша страховая компания пойдет Вам на встречу, заключит с нами договор, и мы с удовольствием Вас примем.
С уважением, Главный бухгалтер Курортной клиники мужского здоровья.
|
Задать ВОПРОС ОНЛАЙН о лечении гидроцеле, фуникулоцеле можно по адресу Данный адрес e-mail защищен от спам-ботов, Вам необходимо включить Javascript для его просмотра. . ЗАПИСЬ на лечение водянки яичка по телефону 8(800) 500-52-74 (звонок по России бесплатный). Записаться на ЛЕЧЕНИЕ сперматоцеле через интернет можно здесь. Купите КУРСОВКУ по телефону +7 (928) 022-05-32 или здесь. |
ЗАДАТЬ ВОПРОС
Прежде чем задать вопрос, пожалуйста, прочитайте соответствующую Вашему вопросу статью и ответы на наиболее часто задаваемые вопросы!
С актуальными ценами на услуги Клиники вы можете ознакомиться ЗДЕСЬ
НОВОСТИ
Результаты лечения бесплодия в августе 2021г:
Благодаря комплексной программе лечения бесплодия, в августе 2021 г. зачали 15 пациентов Курортной клиники мужского здоровья.
Это жители:
Пятигорска (3),
Кисловодска (2),
Нальчика (4),
Баксана (2),
с. Алтуд (1),
Москвы (3).









Комментарии
и полезный сайт.
удачииуспехавам .