УЗИ, ТРУЗИ выходной, УЗИ в воскресенье, субботу в Пятигорске Вы можете сделать в Клинике мужского здоровья.
Сделать УЗИ, ТРУЗИ вечером, сделать УЗИ, ТРУЗИ в праздники в Пятигорске Вы можете в Курортной клинике мужского здоровья.
Таким образом, Клиника мужского здоровья работает в режиме дежурного медицинского учреждения! Мы принимаем мужчин, женщин и детей и выполняем качественно УЗИ, ТРУЗИ в Пятигорске БЕЗ ВЫХОДНЫХ.
Сделать УЗИ, ТРУЗИ в Курортной клинике мужского здоровья
УЗИ, ТРУЗИ в Курортной клинике мужского здоровья выполняют на ультразвуковых аппаратах «Zonare» (США), «Acuson» (США).
Обратите внимание на совершенное качество фотографий, свидетельствующих об экспертном классе аппаратов УЗИ.
Использование ультразвуковых аппаратов экспертного класса с режимами энергетического ДОППЛЕРа и цветового допплера позволяет врачам Курортной клиники мужского здоровья выявлять патологические изменения на ранних этапах их формирования и решать диагностические задачи высшей степени сложности.
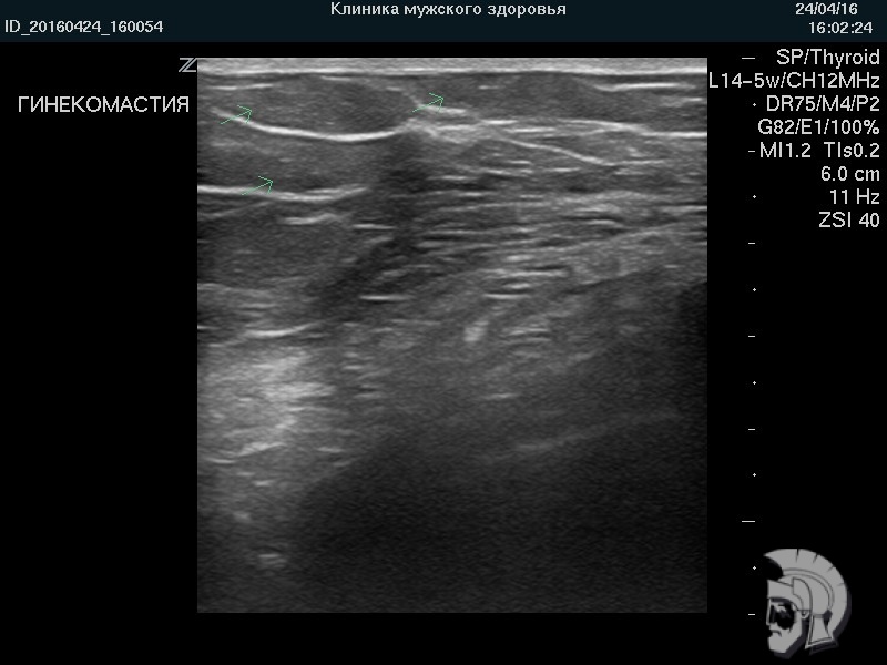
Фото гинекомастии.
На фоне мышц (представлены длинными продольными волокнами) определяются крупные жировые дольки (указаны стрелками) |
 |
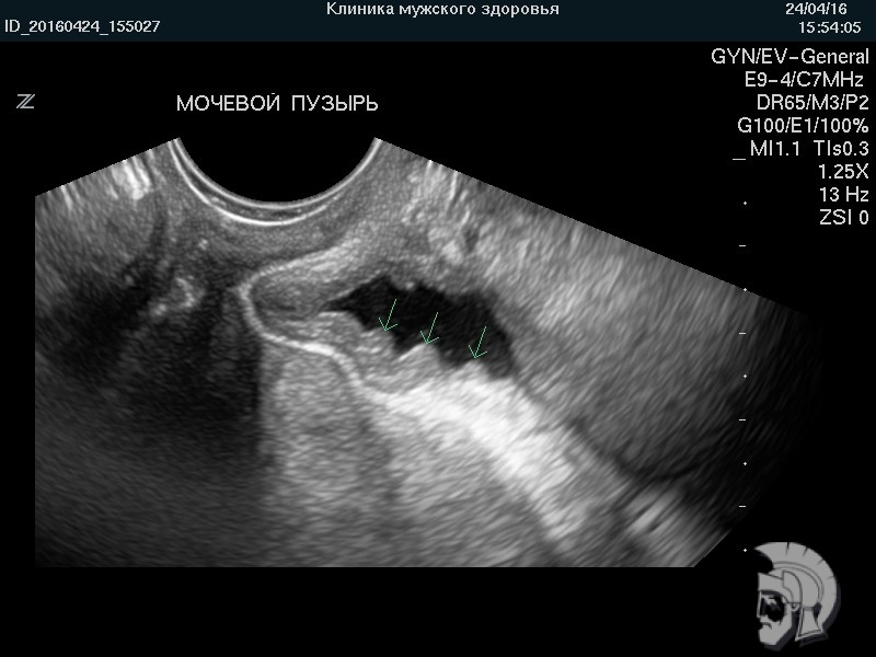
| Фото мочевого пузыря нетугого наполнения. Складки слизистой оболочки мочевого пузыря |
 |
Возможность архивирования результатов УЗИ, ТРУЗИ на различных электронных носителях информации позволяет СОХРАНИТЬ объективные ДАННЫЕ для врачей и электронной истории болезни.
Врачи УЗИ Клиники мужского здоровья имеют длительный ОПЫТ работы, несколько специализаций и способны всесторонне оценить ситуацию.
|
Нам нравится диагностическая работа! Осваивая новые методики обследования, мы стремимся к БЕЗОПАСНОсти и комфортности обследования.
|
В Клинике мужского здоровья с целью соответствия методик ультразвуковых исследований и возможностей УЗ-аппаратов диагностическому уровню мировых лидеров ультразвуковой диагностики каждые 3-6 месяцев производится АПГРЕЙД аппаратов УЗИ.
ПОДГОТОВКА к каждому виду УЗИ, ТРУЗИ подробно изложены на нашем сайте в соответствующей статье.
УЗИ, ТРУЗИ является современным и безопасным методом исследования.
Рентгеновское облучение при выполнении УЗИ, ТРУЗИ полностью отсутствует.
Это позволяет рекомендовать УЗИ, ТРУЗИ для динамического контроля при плановом ежегодном осмотре, на фоне лечения и в послеоперационном периоде.
|
УЗИ, ТРУЗИ в Пятигорске Вы можете сделать в ВЫХОДНЫЕ дни и праздники, ВЕЧЕРОМ, в удобное для Вас время.
|
понедельник - пятница с 8:00 до 20:00,
суббота, воскресенье, праздничные дни с 8:00 до 17:00.
Прием по предварительной записи. Мы пунктуальны!
Предварительная запись по телефону 8(800) 500-52-74 (звонок бесплатный) или +7 (928) 022-05-32 (для зарубежных звонков).
|
Задать ВОПРОС ОНЛАЙН о УЗИ, ТРУЗИ можно по адресу
Данный адрес e-mail защищен от спам-ботов, Вам необходимо включить Javascript для его просмотра.
.
ЗАПИСЬ ОНЛАЙН на УЗИ, ТРУЗИ здесь.
ЗАПИСЬ по интернету на УЗИ, ТРУЗИ здесь.
Купить КУРСОВКУ по телефону +7 (928) 022-05-32 или здесь.
|
При желании выполнить несколько УЗИ единовременно просьба сообщить во время предварительной записи.
Возможно проведение ПОЛНОГО ультразвукового ИССЛЕДОВАНИЯ организма за одно посещение.
Курортная клиника мужского здоровья работает в системе добровольного медицинского страхования и по платным услугам.
Подробную информацию о приеме врачей Курортной клиники мужского здоровья, подготовке к УЗИ, ТРУЗИ и лабораторной диагностике Вы можете получить по телефону в г. Пятигорске 8(800) 500-52-74 (звонок бесплатный) или +7 (928) 022-05-32 (для зарубежных звонков).
Вы можете РАССЧИТЫВАТЬ на наш всемерный отклик и ПОДДЕРЖКУ при возникновении любых пожеланий и сомнений.
Вопрос: Где можно сделать УЗИ в выходные в Пятигорске?
Ответ: Сделать УЗИ в выходные и ПРАЗДНИКИ в Пятигорске Вы можете в Клинике мужского здоровья по адресу ул. Адмиральского 6 А, телефон 8(800) 500-52-74 (звонок бесплатный) или +7 (928) 022-05-32 (для зарубежных звонков).
Вопрос: Где УЗИ в Пятигорске можно сделать ВЕЧЕРом?
Ответ: УЗИ вечером в Пятигорске можно сделать на Адмиральского 6 А, тел. 8(800) 500-52-74 (звонок бесплатный) или +7 (928) 022-05-32 (для зарубежных звонков).
УЗИ в Пятигорске БЕЗ ВЫХОДНЫХ.
Сделать УЗИ в праздники, в воскресенье, СУББОТУ в Пятигорске можно в Клинике мужского здоровья.
Вопрос: Где узнать цену УЗИ в Пятигорске?
Ответ: Стоимость УЗИ в Пятигорске (УЗИ цена) можно узнать здесь.
Вопрос: По ПОЛИСам каких страховых компаний системы добровольного медицинского страхования выполняют УЗИ, ТРУЗИ в Пятигорске врачи Курортной клиники мужского здоровья?
Ответ: Мы принимаем Застрахованных в «СОГАЗ», «Ингосстрах» по полисам, выданным данными страховыми компаниями. Подробную информацию о том, с какими медицинскими учреждениями работает Ваша страховая компания Вы можете узнать по номеру горячей линии Вашей страховой компании. Если Курортной клиники мужского здоровья в ее списке нет, Вы можете оставить заявку и, возможно, Ваша страховая компания пойдет Вам на встречу, заключит с нами договор, и мы с удовольствием Вас примем.
С уважением, Главный бухгалтер Курортной клиники мужского здоровья.
|
Задать ВОПРОС ОНЛАЙН о УЗИ, ТРУЗИ можно по адресу
Данный адрес e-mail защищен от спам-ботов, Вам необходимо включить Javascript для его просмотра.
.
ЗАПИСЬ ОНЛАЙН на УЗИ, ТРУЗИ здесь.
ЗАПИСЬ по интернету на УЗИ, ТРУЗИ здесь.
Купить КУРСОВКУ по телефону +7 (928) 022-05-32 или здесь.
|
Комментарии
и полезный сайт.
удачииуспехавам .