УЗИ брюшной полости в Пятигорске
УЗИ органов брюшной полости в Пятигорске БЕЗ ВЫХОДНЫХ в Клинике мужского здоровья.
УЗИ органов брюшной полости ВКЛЮЧАЕТ в себя УЗИ печени, УЗИ желчного пузыря, УЗИ поджелудочной железы, УЗИ селезенки.
УЗИ органов брюшной полости КОМПЛЕКСНО и по каждому органу ОТДЕЛЬНО: УЗИ печени, УЗИ желчного пузыря, УЗИ поджелудочной железы и УЗИ селезенки.
Сделать УЗИ органов брюшной полости в ВОСКРЕСЕНЬЕ, в субботу, в ПРАЗДНИКИ и будни, ВЕЧЕРОМ можно в Клинике мужского здоровья.
Сделать УЗИ брюшной полости и другие виды УЗИ в Курортной клинике мужского здоровья
УЗИ органов брюшной полости мы выполняем на ультразвуковых аппаратах «Zonare» (США), «Acuson» (США).
Обратите внимание на совершенное качество фотографий, свидетельствующих об экспертном классе наших аппаратов УЗИ!
Использование ультразвуковых аппаратов экспертного класса с режимами энергетического ДОППЛЕРа и цветового допплера позволяет врачам Курортной клиники мужского здоровья выявлять патологические изменения на ранних этапах.
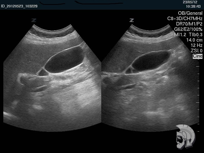
| Фото желчного пузыря. Перетяжка в нижней трети желчного пузыря мужчины 43 лет |
 |
| 3D-фото желчного пузыря. Тот же случай |
 |
Возможность архивирования результатов УЗИ органов брюшной полости, УЗИ печени, УЗИ желчного пузыря, УЗИ поджелудочной железы и УЗИ селезенки на различных электронных носителях информации позволяет СОХРАНИТЬ объективные данные для врачей и электронной истории болезни.
Врачи УЗИ Клиники мужского здоровья имеют длительный ОПЫТ работы, несколько специализаций и способны всесторонне оценить ситуацию.
|
Нам нравится диагностическая работа! Осваивая НОВЫЕ МЕТОДИКИ обследования, мы стремимся к безопасности.
|
В Курортной клинике мужского здоровья с целью соответствия методик ультразвуковых исследований диагностическому уровню мировых лидеров ультразвуковой диагностики каждые 3-6 месяцев производится АПГРЕЙД аппаратов УЗИ.
Подготовка к УЗИ органов брюшной полости, подготовка к УЗИ печени, желчного пузыря, поджелудочной железы, селезенки:
УЗИ органов брюшной полости желательно проводить НАТОЩАК после опорожнения кишечника.
НАКАНУНЕ необходимо ИСКЛЮЧИТЬ из рациона питания ПРОДУКТЫ, вызывающие вздутие кишечника ( ГАЗООБРАЗОВАНИЕ ): сырые овощи и фрукты, молоко, сладкую пищу.
УЗИ органов брюшной полости, УЗИ печени, желчного пузыря, поджелудочной железы, селезенки НЕ ИМЕЕТ противопоказаний и является безопасным методом диагностики.
При УЗИ органов брюшной полости рентгеновское облучение полностью отсутствует.
ПОЭТОМУ узи органов брюшной полости применяют для динамического контроля при плановом ежегодном осмотре, на фоне лечения и в послеоперационном периоде.
УЗИ органов брюшной полости можно сделать по направлению врача и по желанию пациента.
Возможно ПОЛНОЕ ультразвуковое исследование организма за ОДНО посещение, максимально комфортно.
Курортная клиника мужского здоровья работает в системе добровольного медицинского страхования и по платным услугам.
|
Сделать УЗИ брюшной полости в Пятигорске:
понедельник - пятница с 8:00 до 20:00, суббота, воскресенье, праздничные дни с 8:00 до 17:00.
|
Прием по предварительной записи. Мы пунктуальны!
Предварительная запись по телефону 8(800) 500-52-74 (звонок бесплатный) или +7 (928) 022-05-32 (для зарубежных звонков).
|
Задать ВОПРОС ОНЛАЙН о УЗИ органов брюшной полости можно по адресу
Данный адрес e-mail защищен от спам-ботов, Вам необходимо включить Javascript для его просмотра.
.
ЗАПИСЬ ОНЛАЙН на УЗИ органов брюшной полости здесь.
ЗАПИСЬ по интернету на УЗИ органов брюшной полости здесь.
Купить КУРСОВКУ по телефону +7 (928) 022-05-32 или здесь.
|
Вы можете РАССЧИТЫВАТЬ на наш всемерный отклик и ПОДДЕРЖКУ при возникновении любых пожеланий и сомнений.
Фото Клиники
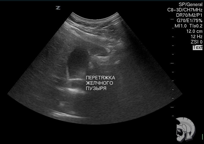
| Фото желчного пузыря. Желчный пузырь с перетяжкой у мужчины 28 лет. Желчный пузырь определяется в виде «тёмного» образования S - образной формы. Перетяжка определяется на границе средней и нижней третей желчного пузыря в виде выступающей «светлой» полоски |
 |
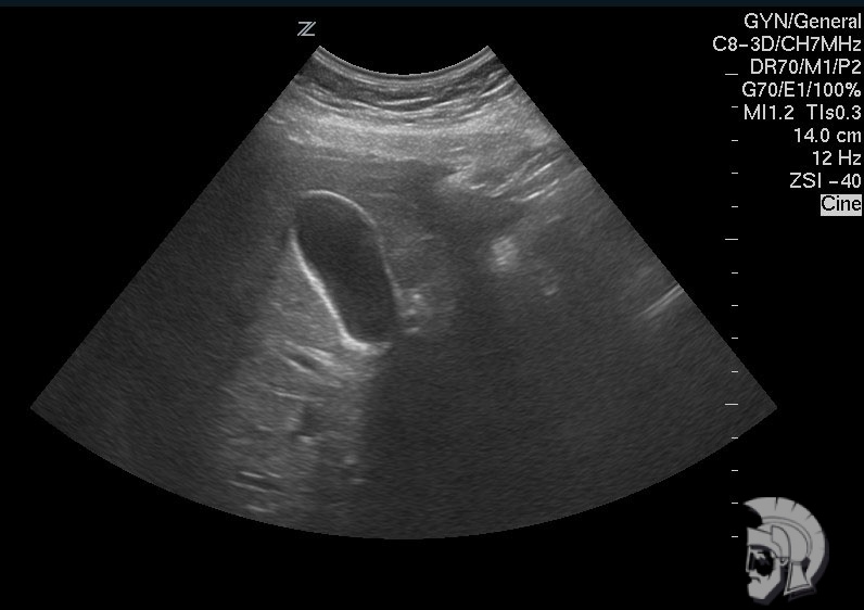
| Фото желчного пузыря. Желчный пузырь с перетяжкой у мужчины 48 лет |
 |
3D - фото желчного пузыря мужчины 51 года.
Желчный пузырь определяется в виде полого тонкостенного образования на фоне печёночных (желчных) ходов |
 |
Фото желчного пузыря.
Переполненный желчью желчный пузырь мужчины 40 лет с дискинезией желчевыводящих путей по гипотоническому типу |
 |
Фото желчного пузыря плода.
Аномалия развития желчного пузыря плода мужского пола 32 недель. Стрелкой указана перетяжка желчного пузыря |
 |
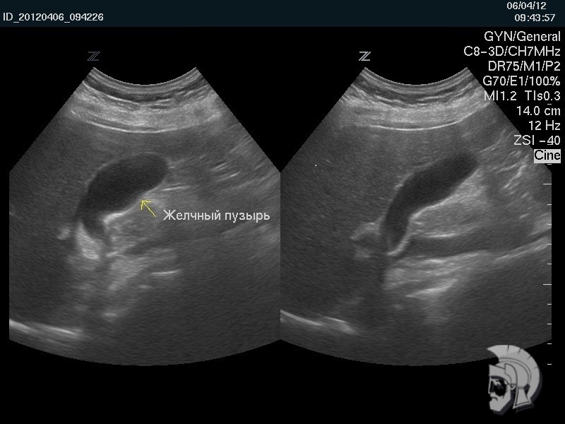
Фото желчного пузыря.
Исследование функциональной активности желчного пузыря у мужчины 35 лет: желчный пузырь правильной формы в начале исследования (слева) и после частичного опорожнения (справа) |
 |
Вопросы и ответы
Вопрос: Где можно сделать УЗИ органов брюшной полости в выходные в Пятигорске?
Ответ: Сделать УЗИ органов брюшной полости в ВЫХОДНОЙ и праздники Вы можете в Клинике мужского здоровья в Пятигорске, ул. Адмиральского 6 А, телефон 8(800) 500-52-74 (звонок бесплатный) или +7 (928) 022-05-32 (для зарубежных звонков).
Вопрос: Где УЗИ органов брюшной полости в Пятигорске сделать вечером?
Ответ: УЗИ органов брюшной полости ВЕЧЕРОМ в Пятигорске можно сделать на Адмиральского 6 А, тел. 8(800) 500-52-74 (звонок бесплатный) или +7 (928) 022-05-32 (для зарубежных звонков).
УЗИ органов брюшной полости БЕЗ ВЫХОДНЫХ.
Сделать УЗИ органов брюшной полости в праздники, в воскресенье, СУББОТУ можно у нас.
Вопрос: Где узнать СТОИМОСТЬ УЗИ органов брюшной полости в Пятигорске?
Ответ: Стоимость УЗИ органов брюшной полости (УЗИ цена) узнать можно здесь.
Вопрос: По ПОЛИСам каких страховых компаний системы добровольного медицинского страхования выполняют УЗИ органов брюшной полости Курортной клиники мужского здоровья?
Ответ: Мы принимаем Застрахованных в «СОГАЗ», «Ингосстрах» по полисам, выданным данными страховыми компаниями. Подробную информацию о том, с какими медицинскими учреждениями работает Ваша страховая компания Вы можете узнать по номеру горячей линии Вашей страховой компании. Если Курортной клиники мужского здоровья в ее списке нет, Вы можете оставить заявку и, возможно, Ваша страховая компания пойдет Вам на встречу, заключит с нами договор, и мы с удовольствием Вас примем.
С уважением, Главный бухгалтер Курортной клиники мужского здоровья.
|
Задать ВОПРОС ОНЛАЙН о УЗИ брюшной полости можно по адресу
Данный адрес e-mail защищен от спам-ботов, Вам необходимо включить Javascript для его просмотра.
.
ЗАПИСЬ ОНЛАЙН на УЗИ брюшной полости здесь.
ЗАПИСЬ по интернету на УЗИ брюшной полости здесь.
Купить КУРСОВКУ по телефону +7 (928) 022-05-32 или здесь.
|
Подразделы
ЗАДАТЬ ВОПРОС
Прежде чем задать вопрос, пожалуйста, прочитайте соответствующую Вашему вопросу статью и ответы на наиболее часто задаваемые вопросы!
ВОПРОСЫ И ОТВЕТЫ ПО ДРУГИМ ТЕМАМ

Комментарии
и полезный сайт.
удачииуспехавам .