УЗИ груди
|
Мы видим то, что не видят другие. |
УЗИ груди без выходных в ПРОФИЛЬной мужской клинике Пятигорска.
УЗИ груди СРОЧНО и по записи тел. 8 (800) 500-52-74 (звонок по России бесплатно) или +7 (928) 022-05-32 (для зарубежных звонков).
|
Нам нравится диагностическая работа!
Осваивая НОВЫЕ МЕТОДИКИ, мы реализуем наше стремление к безопасности обследования.
|
НАЗНАЧЕНИЯ на основании данных ДОКАЗАТЕЛЬНОй медицины.
Мы РЕШАЕМ даже САМЫЕ сложные МУЖские ПРОБЛЕМЫ.
Мы назначаем только то, что ИМЕЕТ медицинский СМЫСЛ и НЕОБХОДИМОСТЬ в конкретном случае.
СТАНДАРТы сервиса клиник международного уровня.
Есть РЕЗУЛЬТАТы. Есть ОПЫТ. Есть пути ДОСТИЖЕНИЯ.
Данные факты привлекают в Курортную клинику мужского здоровья ежегодно более 10 000 мужчин, женщин, подростков и детей из всех регионов России, ближнего и дальнего зарубежья.
| УЗИ груди. Фото ЛАКТОСТАЗа. Определяются многочисленные расширенные протоки в виде линейных и причудливой формы «темных» структур |
 |
Фото лактостаза в режиме 3D. Тот же случай.
Расширенные и заполненные молоком млечные ходы указаны стрелками.
Мужчина ВОВРЕМЯ привел жену. Грудь сохранили БЕЗ ОПЕРАЦИИ |
 |

УЛЬТРАсовременные аппараты 3D/4D нашей ПРОФИЛЬной клиники позволяют Более ТОЧНО установить диагноз.
ВОЗМОЖНОСТИ УЗИ аппаратов Курортной клиники мужского здоровья СООТВЕТСТВУЮТ уровню диагностических возможностей ведущих мужских клиник зарубежных стран.
Клиника мужского здоровья ИНВЕСТИРУЕТ большие средства в обновление программного обеспечения ультразвуковых аппаратов каждые 3-6 месяцев.
КВАЛИФИЦИРОВАННЫЙ и тактичный медицинский ПЕРСОНАЛ, значительный опыт научной и практической работы, КОНТРОЛЬ КАЧЕСТВА на каждом этапе обеспечивают ДОСТОВЕРНую диагностику и УСПЕШНОе лечение. О коллективе Клиники подробно...
Врачи УЗИ нашей Клиники имеют моголетний ОПЫТ работы, несколько специализаций и способны всесторонне оценить ситуацию.
УЗИ груди можно сделать КОМПЛЕКСНО и отдельно.
Обследовать грудные железы и получить консультацию маммолога в ВОСКРЕСЕНЬЕ, субботу, в ПРАЗДНИКИ и будни, ВЕЧЕРОМ можно в Клинике мужского здоровья в Пятигорске.
Таким образом, Клиника мужского здоровья в г. Пятигорске работает в режиме дежурного медицинского учреждения БЕЗ ВЫХОДНЫХ.
УЗИ груди и другие виды УЗДГ в Курортной клинике мужского здоровья:
|
Отправьте ВОПРОС ОН-ЛАЙН опытному маммологу по адресу
Данный адрес e-mail защищен от спам-ботов, Вам необходимо включить Javascript для его просмотра.
.
Записаться ОН-ЛАЙН в мужскую клинику здесь.
ЗАПИСАТЬСЯ через интернет здесь.
Купить КУРСОВКУ по телефону +7 (928) 022-05-32 или здесь.
|
УЗИ груди. Фото фиброаденомы у мужчины 28 лет.
ФИБРОАДЕНОМА с отложениями извести в виде подвижного шарика |
 |
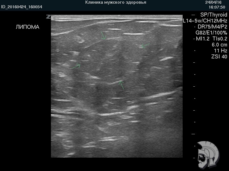
УЗИ груди. Фото липомы у мужчины 23 лет. ЛИПОМА ( «жировик» ) крупного размера представлена образованием тугоэластической консистенции, деформирующим контур груди. Липома указана стрелками |
 |
УЗИ у мужчин, подростков и мальчиков в Курортной клинике мужского здоровья выполняют на ультразвуковых аппаратах «Zonare» (США), «Acuson» (США).
Обратите внимание на совершенное качество фотографий, свидетельствующих об экспертном классе аппаратов УЗИ!
Использование ультразвуковых аппаратов экспертного класса с режимами энергетического допплера и цветового ДОППЛЕРа позволяет врачам Мужской клиники выявить гинекомастию, опухолевидные образования и рак грудных желез у мужчин и мальчиков на ранних этапах.
Возможность архивирования результатов УЗИ на различных электронных носителях информации позволяет СОХРАНИТЬ объективные данные для врачей и электронной истории болезни.
Подготовка к УЗИ груди
Подготовка к УЗИ груди мужчинам, юношам и мальчикам НЕ ТРЕБУЕТСЯ.
УЗИ является современным и безопасным методом исследования.
Рентген-ОБЛУЧЕНИЕ при УЗД полностью ОТСУТСТВУЕТ.
Это позволяет использовать УЗИ для контроля лечения на фоне лечения в динамике и в послеоперационном периоде.
УЗ-исследование в нашей ПРОФИЛЬной мужской клинике можно выполнить по направлению врача и по желанию пациента. Количество обследуемых органов за одно посещение не ограничено.
Возможно ПОЛНОЕ ультразвуковое исследование организма за ОДНО посещение, максимально комфортно.

Мужская клиника работает в будни и праздники, БЕЗ ВЫХОДНЫХ:
понедельник-пятница 08:00 — 20:00,
сб., вскр., праздники 08:00 — 17:00 по московскому времени.
Предварительная запись на лечение и обследование в Пятигорске по тел. 8 (800) 500-52-74 (звонок по России бесплатный), или +7 (928) 022-05-32 (для зарубежных звонков), или
Данный адрес e-mail защищен от спам-ботов, Вам необходимо включить Javascript для его просмотра.
|
Отправить ВОПРОС ОН-ЛАЙН по адресу
Данный адрес e-mail защищен от спам-ботов, Вам необходимо включить Javascript для его просмотра.
.
Записаться ОН-ЛАЙН к маммологу здесь.
ЗАПИСАТЬСЯ через интернет здесь.
|
Вы можете РАССЧИТЫВАТЬ на наш всемерный отклик и ПОДДЕРЖКУ при возникновении любых пожеланий и сомнений.
Подразделы
Комментарии
и полезный сайт.
удачииуспехавам .