УЗИ малого таза и фолликулометрия в Пятигорске
УЗИ малого таза, фолликулометрия в Пятигорске БЕЗ ВЫХОДНЫХ Клинике мужского здоровья.
Сделать УЗИ малого таза, УЗИ шейки матки, УЗИ органов таза, гинекологическое УЗИ, фолликулометрия и получить консультацию гинеколога в Пятигорске можно в ВОСКРЕСЕНЬЕ, субботу, в ПРАЗДНИКИ и будни, ВЕЧЕРОМ в Курортной клинике мужского здоровья.
Сделать УЗИ малого таза, фолликулометрию и другие виды УЗИ в Курортной клинике мужского здоровья
УЗИ малого таза, УЗИ шейки матки, УЗИ органов таза, гинекологическое УЗИ и фолликулометрию в нашей Клинике выполняют на ультразвуковых аппаратах «Zonare» (США), «Acuson» (США).
Обратите внимание на совершенное качество фотографий, свидетельствующих об экспертном классе аппаратов УЗИ!
Использование ультразвуковых аппаратов экспертного класса с режимами энергетического допплера и цветового ДОППЛЕРа позволяет врачам Курортной клиники мужского здоровья выполнять очень ПОДРОБНО фолликулометрию, выявлять эндометриоз, миому матки, опухолевые заболевания малого таза на ранних этапах их формирования.
| Фото миомы матки. Крупный интерстициальный (межмышечный) узел в дне матки, деформирующий контур задней стенки |
 |
| Фото фолликулометрии. Созревший (преовуляторный) фолликул в яичнике указан стрелками |
 |
| Фото миомы матки и беременности 7 недель |
 |
Возможность архивирования результатов фолликулометрии, УЗИ малого таза (гинекологического УЗИ) на различных электронных носителях информации позволяет СОХРАНИТЬ объективные данные для врачей и электронной истории болезни.
Врачи УЗИ и гинекологи Курортной клиники мужского здоровья имеют длительный ОПЫТ работы, несколько специализаций и способны всесторонне оценить ситуацию.
|
Нам нравится диагностическая работа! Осваивая НОВЫЕ МЕТОДИКИ обследования и лечения, мы реализуем наше стремление к безопасности!
|
В Курортной клинике мужского здоровья с целью соответствия методик ультразвуковых исследований диагностическому уровню мировых лидеров ультразвуковой диагностики каждые 3-6 месяцев производится АПГРЕЙД аппаратов УЗИ.
Подготовка к УЗИ малого таза, фолликулометрии
Подготовка к УЗИ малого таза, фолликулометрии НЕ ТРЕБУЕТСЯ.
Фолликулометрия и УЗИ малого таза возможны на ПУСТОЙ мочевой пузырь.
УЗИ малого таза, УЗИ шейки матки, УЗИ органов таза, гинекологическое УЗИ и фолликулометрия не имеют противопоказаний и являются безопасным методом диагностики.
При проведении фолликулометрии и УЗИ малого таза рентгеновское облучение полностью отсутствует.
Это позволяет использовать УЗИ малого таза, УЗИ органов таза для динамического контроля состояния эндометрия, яичников и сосудов малого таза при плановом ежегодном осмотре, на фоне лечения и в послеоперационном периоде.
Фолликулометрия, УЗИ малого таза в нашей Клинике можно сделать по направлению врача и по желанию пациента.
Возможно ПОЛНОЕ ультразвуковое исследование организма за ОДНО посещение, максимально комфортно.
Курортная клиника мужского здоровья работает в системе добровольного медицинского страхования и по платным услугам.
|
Сделать фолликулометрию, УЗИ малого таза в Пятигорске:
понедельник - пятница с 8:00 до 20:00, суббота, воскресенье, праздничные дни с 8:00 до 17:00.
|
Прием по предварительной записи. Мы пунктуальны!
Предварительная запись по телефону 8(800) 500-52-74 (звонок бесплатный) или +7 (928) 022-05-32 (для зарубежных звонков).
|
Задать ВОПРОС ОНЛАЙН о фолликулометрии можно по адресу
Данный адрес e-mail защищен от спам-ботов, Вам необходимо включить Javascript для его просмотра.
.
ЗАПИСЬ ОНЛАЙН на УЗИ малого таза здесь.
ЗАПИСЬ по интернету на УЗИ малого таза здесь.
Купить КУРСОВКУ по телефону +7 (928) 022-05-32 или здесь.
|
Вы можете РАССЧИТЫВАТЬ на наш всемерный отклик и ПОДДЕРЖКУ при возникновении любых пожеланий и сомнений.
Фото Клиники
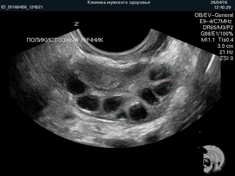
| Фото поликистозного яичника. Множественные мелкие фолликулы («кисты») указаны стрелками |
 |
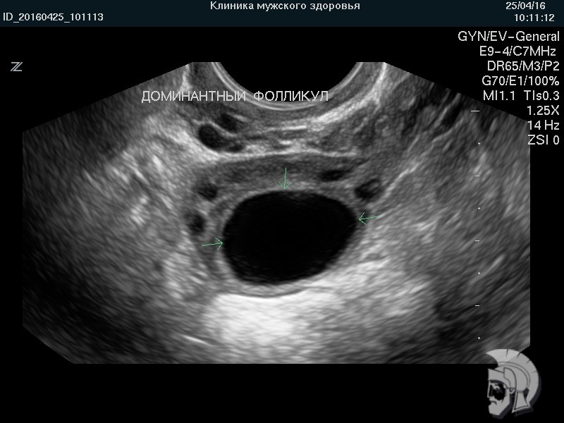
| Фото фолликулометрии. Наиболее крупный фолликул (доминантный фолликул) указан стрелками |
 |
| 3D-фото мочевого пузыря. Определяется складчатость стенок мочевого пузыря. Матка и левый яичник указаны стрелками |
 |
Вопросы и ответы
Вопрос: Где сделать УЗИ малого таза в ВЫХОДНОЙ в Пятигорске?
Ответ: Сделать УЗИ малого таза в выходные и ПРАЗДНИКИ в Пятигорске можно в Клинике мужского здоровья, ул. Адмиральского 6 А, телефон 8(800) 500-52-74 (звонок бесплатный) или +7 (928) 022-05-32 (для зарубежных звонков).
Вопрос: Где УЗИ малого таза можно сделать ВЕЧЕРОМ?
Ответ: УЗИ малого таза вечером в Пятигорске можно сделать на Адмиральского 6 А, тел. 8(800) 500-52-74 (звонок бесплатный) или +7 (928) 022-05-32 (для зарубежных звонков).
УЗИ малого таза в Пятигорск БЕЗ ВЫХОДНЫХ.
Сделать УЗИ малого таза и фолликулометрию в СУББОТУ, воскресенье, в праздники можно в нашей Клинике.
Вопрос: Где узнать стоимость УЗИ малого таза в Пятигорске?
Ответ: Узнать стоимость УЗИ малого таза, гинекологического УЗИ, фолликулометрии (УЗИ цена) можно здесь.
Вопрос: По ПОЛИСам каких страховых компаний системы добровольного медицинского страхования делают УЗИ малого таза, фолликулометрию врачи Курортной клиники мужского здоровья?
Ответ: Мы принимаем Застрахованных в «СОГАЗ», «Ингосстрах» по полисам, выданным данными страховыми компаниями. Подробную информацию о том, с какими медицинскими учреждениями работает Ваша страховая компания Вы можете узнать по номеру горячей линии Вашей страховой компании. Если Курортной клиники мужского здоровья в ее списке нет, Вы можете оставить заявку и, возможно, Ваша страховая компания пойдет Вам на встречу, заключит с нами договор, и мы с удовольствием Вас примем.
С уважением, Главный бухгалтер Курортной клиники мужского здоровья.
|
Задать ВОПРОС ОНЛАЙН о фолликулометрии можно по адресу
Данный адрес e-mail защищен от спам-ботов, Вам необходимо включить Javascript для его просмотра.
.
ЗАПИСЬ ОНЛАЙН на УЗИ малого таза здесь.
ЗАПИСЬ по интернету на УЗИ малого таза здесь.
Купить КУРСОВКУ по телефону +7 (928) 022-05-32 или здесь.
|
Подразделы